RESULTS
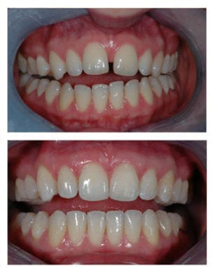
Case no. : PT 620
Patient name. : Gansham Thakur
Sets needed. : 10
Time needed : 5 months
Attachments : -
Generalized
spacing



Mid-line Diastema
Case no. : PT 559
Patient name. : Meeloni
Sets needed. : 5
Time needed : 3 months
Attachments : -
Case no. : PT 572
Patient name. : Yashvi
Sets needed. : 10
Time needed : 5 months
Attachments : Needed
Case no. : PT 780
Patient name. : Shruti
Sets needed. : 15
Time needed : 8 months
Attachments : Needed
Deepbite
correction


Moderate
crowding
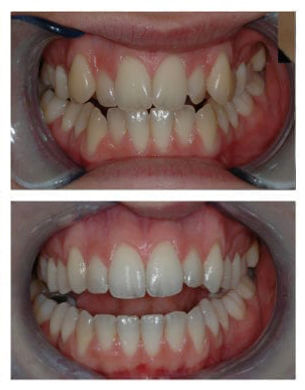
Case no. : PT 951
Patient name. : Swetha
Sets needed. : 15
Time needed : 8 months
Attachments : Needed
Severe
crowding


Openbite correction
Case no. : PT 824
Patient name. : Abhinav
Sets needed. : 15
Time needed : 8 months
Attachments : -
Case no. : PT 780
Patient name. : Shruti
Sets needed. : 15
Time needed : 8 months
Attachments : Needed
Class 2
Div 2


Single tooth crossbite
correction
Case no. : PT 829
Patient name. : Rajavi
Sets needed. : 15
Time needed : 8 months
Attachments : -